Начало
НачалоЗдравни новини
 
Децата на село - по-здрави Децата, които живеят в селска местност, са два пъти по-малко застрашени от астма, отколкото връстниците им в градовете.
 
Акупунктурата намалява нуждата от постоперативно обезболяване Ново проучване показва, че използването на акупунктура по време на и след операция, намалява дозата на опиоидните аналгетици и техните странични ефекти.
 
Откриват ген отговорен за импотентността Един единствен ген може да се окаже един от най-важните за крайните етапи на формиране на сперматозоидите и едновременно с това да даде обяснение защо някои мъже са стерилни - това установиха учени.
 
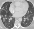
Нов ген е свързан с рака на белия дроб Учени установиха, че може би ген е свързан с развитието на рак на белия дроб, който е доста злокачествен. Откриването на гена dmp1 е важна крачка за по-доброто изясняване на проблемите, които възникват на клетъчно ниво и водят в крайна сметка до рак
 
Коремно затлъстяване Мнението, че коремното затлъстяване е най-опасният вид, не е ново
 
Край на личните лекари в България от 2008? От 2008 много българи може да останат без общопрактикуващи лекари, съобщиха от сдружението на джипитата.
 
Евтин медикамент може да спаси хиляди животи Магнезиевият сулфат - евтин медикамент, който може да предотврати някои фатални усложнения на бременността, би могъл да спи живота на хиляди жени в бедните държави.
 
Няма да се доплаща при лечение в болниците Парламентът гласува българските пациенти да не доплащат за лечение в болниците. Така народните представители отхвърлиха промените в Закона за здравното осигуряване, внесени от Атанас Щерев от НДСВ
 
Червеното вино има шест пъти по-полезно действие от бялото Една чаша червено вино се равнява на около 6 чаши бяло вино по полезно действие върху организма. Това каза проф. Кирил Фъртов от Института по криобиология и хранителни технологии по време на националната среща "Имунна подкрепа за здравето от природата и
 
"Хранителните банки – информационни дни" – инициатива на Български червен кръст и фондация "Фора" Дирекция „Организационно развитие и стратегическо планиране“ на БЧК и фондация „ФОРА“ организира инициативата ‛Хранителните банки – информационни дни“ в периода 16-18 октомври 2007 г
 
361 | 362 | 363 | 364 | 365 | 366 | 367 | 368 | 369 | « първа   ‹ предишна   следваща ›   последна »  
   
Бюлетин
   
   
Начало |  За нас |  Условия за ползване |  Реклама при нас |  Контакти  
© 2007 ДокБГ ООД Всички права запазени. Съдържанието публикувано в doctorbg.com е изцяло за Ваша информация и не трябва да се приема като заместител на медицинска консултация при Вашия личен лекар или друг специалист. Винаги трябва да търсите съвет от Вашия личен лекар преди да предприемете нов фитнес режим или да започнете да спазвате диета. С използването на doctorbg.com Вие декларирате че сте запознати с условията за ползване, правата и отговорностите. ДокБГ ООД не носи отговорност за съдържанието на който и да е сайт достигнат чрез външни препратки от doctorbg.com
 
Free Sitemap Generator